Spark™

Disegnato per soddisfare le ensigenze dei pazienti e degli ortodontisti

Spark™

Allineatori di contenzione Spark™

Progettati permantenere sorrisieccezoonali

Allineatori di contenzione Spark™

Damon Ultima™

Il primo vero sistema ad espressione completa

Damon Ultima™

Ormco™ Digital Bonding

Eccellenza clinica basata sul digitale

Ormco™ Digital Bonding

Symetri™

Maggiore robustezza, estetica perfetta, debonding piú facile

Symetri™

DEXIS™ IOS

Scanner intraorali

DEXIS™ IOS

Brackets

Qualità e precisione

Brackets

Fili

Fili d'alta qualità, che offrono risultati costanti e predicibili

Fili

Bande e corone dentali

L'ultima novità in anatomia

Bande e corone dentali

Tubi L'ultima novità in anatomia

Tubi e bande per un'adesione straordinaria

Tubi L'ultima novità in anatomia

Cementi per denti

Massima adesione con il massimo comfort

Cementi per denti

Dispositivi Intraextraorali

Progettazione intelligente, facile ed efficace

Dispositivi Intraextraorali

Horizon

Scopri tutte le nostre linee di accessori

Horizon

Retention

La rivoluzione nella technologia dei retainer

Retention

CASE REPORT

Trattamento SPARK™ di un paziente adolescente con disarmonia dento-mascellare moderata

Questo articolo descrive un trattamento con allineatori trasparenti spark eseguito su un paziente di 14 anni con ddm (disarmonia dento- mascellare) moderata, arcate strette, bipro- alveoli e iperdivergenza delle basi ossee.

Prima
Dopo

DR. PIERRE-ANTOINE DIAN*, BELGIO

Appassionato di ortodonzia, Pierre-Antoine Dian investe molto nella sua professione cercando di rimanere aggiornato su tutti i nuovi progressi tecnologici. La sua pratica di ortodonzia è orientata verso l‘efficienza, la semplificazione delle cure e l‘abbreviazione dei tempi di trattamento.

  • Laureato in Odontoiatria presso l‘Università Cattolica di Lovanio (Bruxelles)
  • Specialista in ortodonzia e ortopedia dento facciale presso l‘Università Cattolica di Lovanio (Bruxelles)
  • Esperto eminente presso SPARK

Descrizione del piano di trattamento

In primo luogo, il protocollo di trattamento prevedeva lo sviluppo trasversale delle arcate (> 2 mm) al fine di correggere la DDM (disarmonia dento-mascellare) con il protocollo riportato di seguito:

  • Espansione delle arcate da 6 a 6, rotazione distale della 6.
  • convergenza e rotazione distale di 7.
  • È stata aggiunta un’ipercorrezione con 10° di torque della radice vestibolare al fine di evitare la proclinazione di molari e premolari causata dall‘espansione.

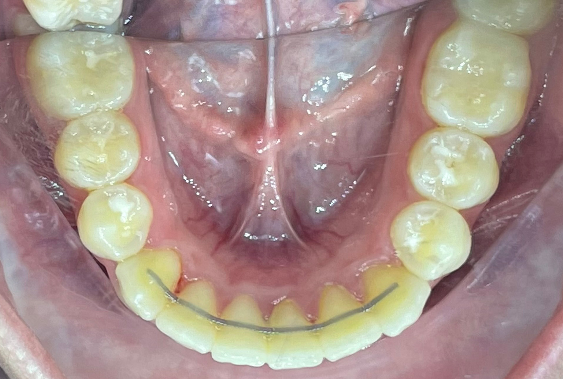
Inoltre, sono stati posizionati ritagli di bottoni sui denti 36 e 46 e ganci sui denti 13 e 23 per indossare elastici di classe II (1/4‘ di pollice, forza 4.5 Oz). È stato prescritto un salto antero-posteriore di 1 mm per simulare la crescita mandibolare del paziente. Il dottor Dian ha optato per uno SPARK 20 con 20 allineatori attivi e TruGEN come materiale.

Final position of the primary order

Position 1 of the refinement

Frontal position 1 of the refinement

Left position 1 of the refinement

Qual era lo scopo dell‘ordine di refinement?

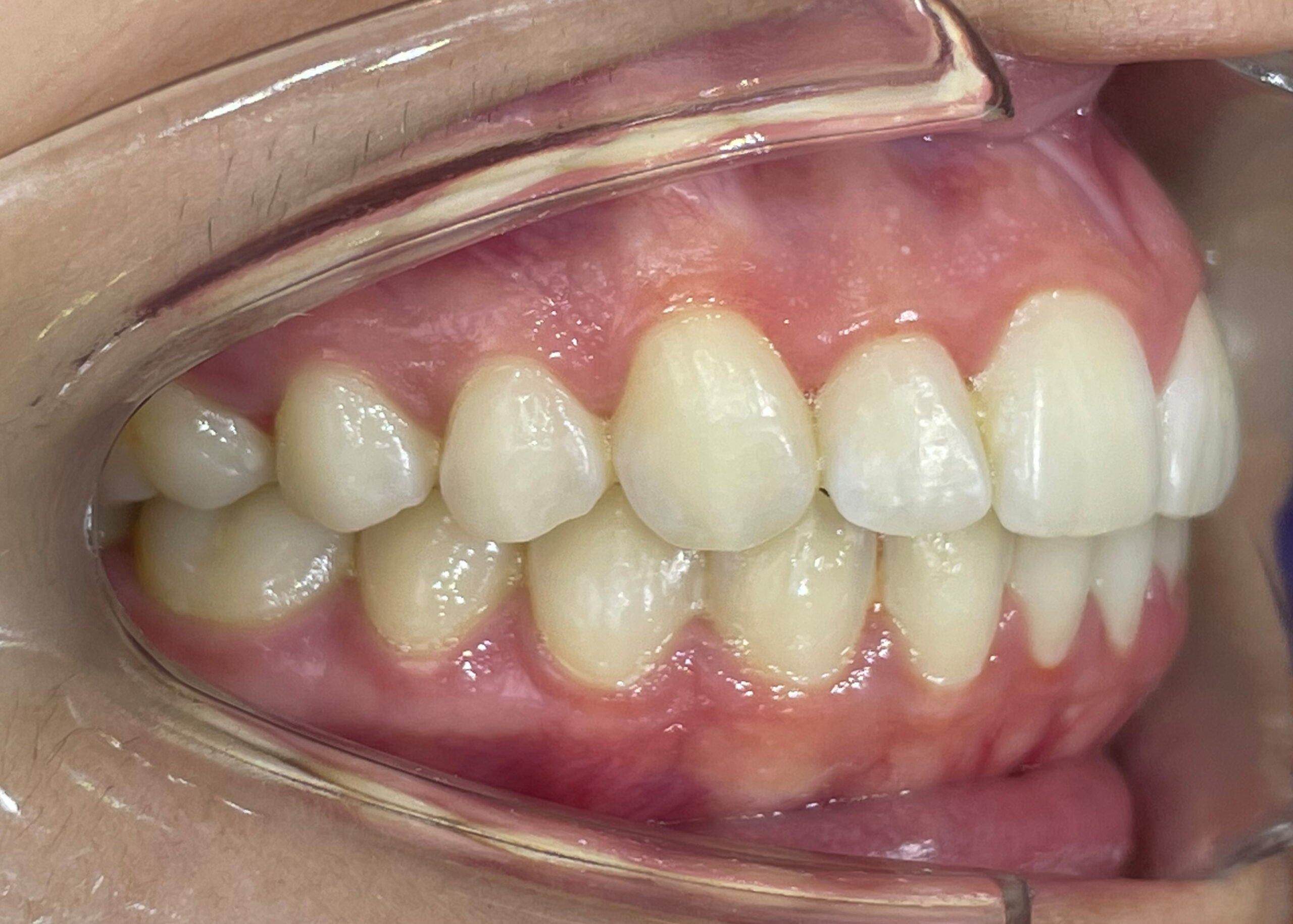
Dalle foto notiamo che l‘estrusione di 2.2 non era completamente espressa al termine della prima serie di trattamenti nonostante il posizionamento di un attacco gengivale smussato.

Questo perché il movimento di estrusione degli incisivi laterali superiori per “denti con ritenzione molto ridotta a causa delle loro piccole dimensioni” è uno dei movimenti più difficili da eseguire. Per questo il Dr. Pierre-Antoine Dian consiglia in questo caso di optare per la tecnica “Hamac” durante la fase di refinement.

Tale tecnica ha avuto inizio due settimane prima di terminare il trattamento e consiste nel posizionare i doppi bottoni buccali e palatali sul dente interessato dopo aver precedentemente ritagliato l‘allineatore e applicare un elastico in “Hamac” (Impala 3/ 16 di pollice, 6 Oz) per aiutare con l‘estrusione e migliorare l‘adattamento del dente nell‘allineatore (si veda la figura sottostante). Il refinement ha richiesto 7 allineatori attivi con TruGEN XR come materiale.

  • È opportuno segnalare che il Dr. Dian ha rimosso l‘attacco orizzontale rettangolare durante la tecnica “Hamac”, che in un primo momento era stato aggiunto in fase di refinement, al fine di consentire l‘estrusione di 2.2.
  • Durante le prime fasi di refinement, come del resto viene mostrato nelle foto, il Dr. Dian ha aggiunto un gancio Caplin sul 3.3 durante il trattamento per migliorarne il bite con l‘arcata opposta. Per questo ha usato una pinza per tagliare i bottoni.
  • Il consiglio del Dr. Dian per gestire i movimenti complessi su piccole superfici coronariche è di mettere un attacco su questi denti, che sia il più grande possibile in modo da avere il massimo ancoraggio.

NB: gli elastici di classe 2 hanno continuato ad essere indossati durante la fase di refinement per sfruttare il potenziale di crescita del paziente.

CONCLUSIONE

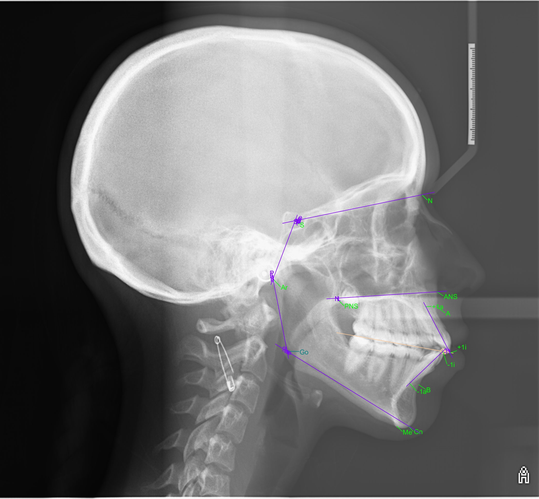
Al termine del trattamento, vale a dire solo 8 mesi dopo, l‘analisi cefalometrica di controllo ha indicato un miglioramento degli assi incisivi nonostante la correzione di una DDM moderata.

Gli allineatori SPARK hanno pertanto consentito al Dr. Pierre-Antoine Dian di ottenere una buona espansione delle arcate, un perfetto controllo del torque e una risoluzione dell‘affollamento anteriore grazie ai protocolli utilizzati e alla predicibilità dei movimenti oltre alla flessibilità fornita dal software Approver.

* Il dottor Pierre-Antoine Dian è un consulente retribuito di Ormco. Le opinioni espresse sono quelle del Dr. Pierre-Antoine Dian. Ormco è un produttore di dispositivi medici e non fornisce consigli medici. I medici devono usare il proprio giudizio professionale nel trattare i loro pazienti.