TRAPPORT DE CAS
TRAPPORT DE CAS
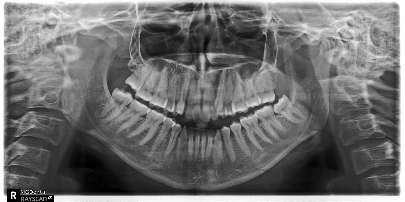
Une patiente de 27 ans présentant une malocclusion de classe III, un encombrement de 15 mm de l’arcade supérieure, une béance antérieure, une occlusion croisée latérale et un score ABO total de 29. Le profil facial était droit avec un maxillaire rétrusif. Les incisives supérieures et inférieures étaient rétroclinées. Un manque extrême de soutien du milieu du visage a été constaté. Des arcades dentaires rétrécies ont conduit à un sourire étroit et à des couloirs buccaux sombres. Aucune investigation myofonctionnelle n’a été réalisée, car le sujet n’était pas considéré à ce moment-là. Le Dr Coca a commencé à travailler sur la base de la philosophie de Damon en 2016. Pour le Dr Coca, ce cas présentait une courbe d’apprentissage, c’est pourquoi il pense qu’il est important de partager sa propre expérience, dans l’espoir que d’autres collègues lisant cet article bénéficient d’une meilleure expérience.
Le Dr Claudiu Coca est un orthodontiste distingué possédant une vaste expérience en orthodontie et en orthopédie dento-faciale. En 2000, il reçoit son diplôme à la Faculté de médecine dentaire de l’Université de médecine et de pharmacie Carol Davila de Bucarest, en Roumanie. En 2001, le Dr Coca commence sa carrière universitaire en tant que chargé de cours adjoint au département d’orthodontie et d’orthopédie dento-faciale de la même institution.
En 2004, il se spécialise en orthodontie et en orthopédie dento-faciale, poursuivant sa carrière universitaire jusqu’au poste de professeur adjoint de 2005 à 2008. Durant cette période, il a continué d’enseigner à la Faculté de médecine dentaire de l’Université Carol Davila.
Le Dr Coca est un utilisateur actif du système de brackets Damon depuis 2010, et il incorpore la philosophie de Damon dans son activité depuis 2016. Il a traité plus de 600 cas orthodontiques avec la philosophie de Damon, tous ayant fait l’objet d’un suivi photographique.

Étant donné le principe orthodontique du visage d’abord, l’objectif principal était d’augmenter le soutien du milieu du visage. Pour y parvenir, il a fallu développer le maxillaire supérieur, corriger l’occlusion croisée et aligner les dents. La fermeture de la béance était un objectif secondaire.
Le principe orthodontique personnel du Dr Coca est l’orthodontie biologique d’abord, ce qui signifie qu’une intervention minimale sur la biologie doit être utilisée si possible : pas d’extraction, pas de stripping, pas de TAD, pas de cortitomie et pas de RPE. En raison des exigences du visage, une option de traitement sans extraction a également été envisagée.
Le traitement ayant débuté en 2017 et le patient préférant une option de brackets moins visible, des brackets Damon Clear ont été utilisés. Des canines supérieures à couple élevé et des incisives supérieures à faible couple ont été choisies afin d’offrir le meilleur contrôle du couple pour le développement de l’arcade supérieure. Pour l’arcade inférieure, il n’y avait pas d’informations sur les autres possibilités de brackets. Des rampes de morsure ont été appliquées sur les deuxièmes molaires supérieures.
Quelle approche le Dr Coca adopterait-il différemment :
Observations :
Observations :
Observations :
Observations :
Les résultats ne sont pas satisfaisants et la patiente perd tout intérêt pour le traitement. Le Dr Coca et la patiente conviennent de poursuivre le traitement pendant 6 mois supplémentaires, puis de l’arrêter quel que soit le résultat.
Observations :
Les dents sont en très bonne position et l’os s’est remodelé.
Observations :
Observations :
Il s’agissait d’un cas difficile, avec des problèmes dans les trois directions de l’espace et un vaste encombrement pour le compléter. La patiente était extrêmement accommodante et présentait une excellente hygiène générale.
D’un point de vue clinique, il s’agissait d’un cas qui s’est étendu sur plus de 5 ans et demi avec plus de 30 rendez-vous cliniques.
Les changements faciaux sont impressionnants, étant donné que tout a été réalisé dans le cadre d’une orthodontie simple et qu’aucun appareil orthopédique ou orthopédique, TAD ou opération chirurgicale n’a été utilisé.
Le Dr Coca considère qu’une meilleure compréhension biomécanique de la gestion de l’encombrement extrême et de la gestion du couple aurait permis de réduire le temps de traitement.
D’après l’expérience du Dr Coca, si une gestion appropriée de la force est obtenue, un remodelage osseux peut se produire et l’idée de limitation osseuse peut être au moins remise en question.
La normalisation des modèles de comportement musculaire lors de la déglutition en état passif est la clé pour résoudre non seulement les problèmes de béance et d’occlusion croisée, mais également pour contribuer à la stabilité des résultats.
Le Dr Coca estime que, compte tenu de son expérience et des connaissances actuelles, il aurait pu terminer ce cas en trois ans.
Cette affaire a été une véritable courbe d’apprentissage pour le Dr Coca, remodelant sa perspective sur les faibles forces, sur les faibles frottements (également connue sous le nom de philosophie de Damon) et également sur le pouvoir de la thérapie myofonctionnelle en orthodontie.
Le bracket Damon Ultima™ est une petite merveille d’ingénierie qui, avec une utilisation appropriée, peut offrir une grande précision dans un court laps de temps.
Les limites osseuses classiques peuvent être remises en question avec tout système orthodontique permettant l’expression de faibles forces continues ; c’est là que la famille de produits Damon System™ se distingue.
La capacité de l’orthodontiste à améliorer considérablement la qualité de vie de ses patients est vraiment remarquable, à trois points de vue :
MKT-24-1634
* Le Dr Claudiu Coca est un consultant rémunéré par Ormco. Les opinions exprimées sont celles de Claudiu Coca. Ormco est un fabricant de dispositifs médicaux et ne se substitue pas à l’avis du praticien. Le plan de traitement relève de la responsabilité du praticien.